
Implantología de alta precisión digital — Tecnología BiteRight
En BiteRight hemos definido y desarrollado el concepto de implantología de alta precisión digital. No nos limitamos a la cirugía guiada: combinamos planificación digital con enfoque prosthesis-first, ejecución mediante cirugía guiada y diseño/producción protésica CAD/CAM integrados. Todo ello se gestiona y se produce a través de nuestra BiteRight Digital Platform (BRDP) y se entrega al equipo clínico listo para la intervención en la BiteRight Box. Además, cocreamos la planificación con el doctor: nuestro equipo técnico propone, el clínico valida o ajusta, y nosotros producimos y entregamos. El resultado: mayor predictibilidad clínica, menos citas, menos ajustes y una experiencia más eficiente para paciente y clínica.
Implantología de alta precisión digital sin complicaciones: la tecnología BiteRight
BiteRight es una solución digital creada por y para clínicos, que transforma la forma de planificar y ejecutar tratamientos implantológicos. Nuestro enfoque se basa en tres pilares conectados en un flujo único: planificación digital, cirugía guiada y diseño protésico personalizado. A este ecosistema lo llamamos implantología de alta precisión digital, la implantología del futuro, con casos más predecibles, en menos tiempo y con mayor rentabilidad para la clínica.
Por qué “implantología de alta precisión digital” (y por qué esto marca la diferencia)
Nuestro término refleja un concepto propio de marca, que integra:
- Enfoque prosthesis-first: la prótesis define la posición del implante y la planificación completa.
- Planificación digital avanzada y colaborativa: cocreación con el doctor en cada paso.
- Cirugía guiada con guías y protocolos validados.
- Producción protésica controlada (CAD/CAM + impresión 3D) con logística integrada en la BiteRight Box.
Esta combinación prioriza el resultado protésico final frente a centrarse solo en la cirugía guiada, evitando compromisos estéticos o funcionales y aumentando el control sobre el resultado final.
El problema que resolvemos: variabilidad, tiempos de sillón y ajustes de última hora
En implantología, tres fricciones habituales afectan al paciente y al negocio:
- Variabilidad entre operadores → diferencias en el diagnóstico, angulación y emergencias que comprometen el ajuste protésico.
- Exceso de tiempo en sillón → agendas tensionadas, segundas o terceras citas para “ajustar”.
- Desalineación cirugía‑prótesis → cuando la planificación no “habla” el mismo idioma que la restauración final.
BiteRight reduce estas fricciones con un workflow cerrado que prioriza la prótesis (enfoque prosthesis‑first), consolida datos y estandariza decisiones clave.
¿Qué es exactamente la BiteRight Digital Platform (BRDP)? — lo que hacemos en la práctica
BRDP no es solo un software; es un ecosistema completo y un servicio: metodología, equipo experto, producción bajo control y logística integrada.
Incluye:
- Importación y alineación de DICOM (CBCT) con STL/PLY (escaneos intraorales).
- Creación de un set-up protésico desde el inicio (prosthesis-first).
- Diseño y verificación de guías quirúrgicas con control dimensional.
- Producción CAD/CAM de provisionales y definitivas, con validación de pasividad.
- Trazabilidad completa dentro de la plataforma.
- Gestión logística: BiteRight Box con todo lo necesario para la cirugía.

Cocreación del plan: acompañamiento técnico en cada paso
Un pilar fundamental de nuestro servicio es la cocreación de la planificación del caso con el clínico:
- El doctor sube el CBCT, las imágenes y el escaneado intraoral, junto con la información clínica y expectativas prostéticas.
- Nuestro equipo de ingenieros elabora una propuesta inicial dentro del BRDP: set-up protésico, posicionamiento propuesto de implantes, emergencias y provisionales.
- El clínico revisa la propuesta, hace observaciones si procede y acepta o solicita cambios desde la misma plataforma.
- Una vez validado, producimos la guía, los provisionales y los componentes necesarios; verificamos dimensionalmente; y enviamos todo en la BiteRight Box con instrucciones precisas para el día de la cirugía.
Este acompañamiento continuo minimiza incertidumbres, evita pérdidas de tiempo y asegura que la decisión final sea siempre del clínico, pero con el respaldo técnico y productivo de nuestro equipo.
Workflow operativo — paso a paso
- Diagnóstico y captura de datos: CBCT + escaneado intraoral + registros oclusales.
- Planificación prosthesis-first en BRDP: set-up, posición ideal de implantes, planificación de provisionales y planificación protésica definitiva.
- Revisión colaborativa: validación por parte del doctor; iteraciones si son necesarias hasta que el doctor está conforme con la planificación,
- Producción: impresión 3D de guías, fresado/impresión de provisionales y protésis definitivas; control de calidad.
- Entrega: envío de la BiteRight Box a la clínica (guía, provisionales, herramientas, tornillería e instrucciones).
- Cirugía y entrega protésica: colocación guiada + provisional inmediato si procede; control y seguimiento protésico hasta la definitiva.

En muchos casos esto permite resolver el tratamiento en tres visitas: una para la captura de datos con el paciente, otra para la cirugía + provisional y otra para la colocación definitiva (según protocolo y caso).
Casos clínicos representativos con BiteRight
En BiteRight aplicamos nuestro enfoque de implantología de alta precisión digital en distintos escenarios clínicos, combinando planificación prosthesis-first, cirugía guiada y producción protésica integrada en la BiteRight Box.
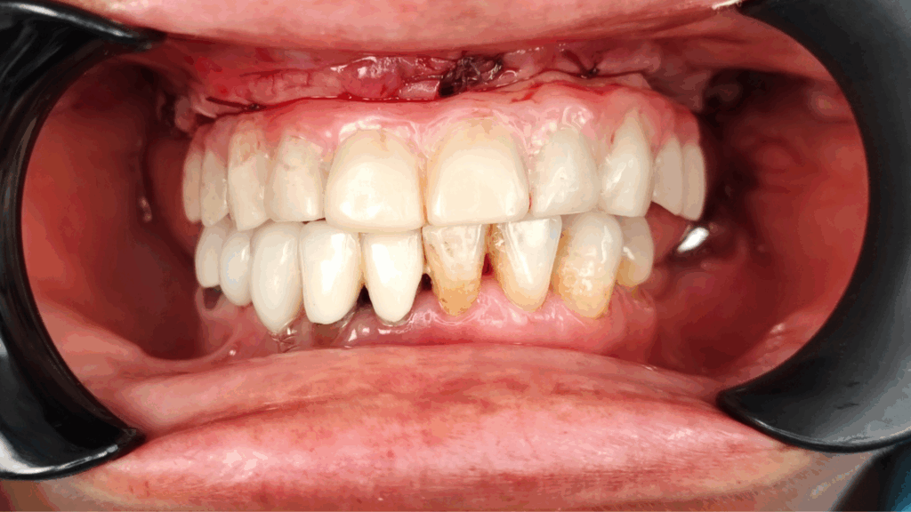
Rehabilitación completa maxilar (Full Arch)








Paciente: mujer, 59 años, edentulismo parcial.
Tratamiento: colocación de 6 implantes inmediatos con férulas apilables y prótesis provisional instantánea parcial.
Tiempo de intervención: 2 horas y 30 minutos.
Beneficios: intervención rápida y precisa, manejo conservador del tejido blando, estética y funcionalidad instantánea, alta satisfacción del paciente.
Estos casos ilustran cómo nuestro flujo BRDP y la cocreación clínica permiten resultados predecibles y eficientes, optimizando tanto el tiempo de sillón como la experiencia de paciente y clínica.
Impacto en negocio
Al implantar la tecnología BiteRight y el flujo de implantología de alta precisión digital, los principales impactos que observamos son:
- Reducción del tiempo en sillón por caso (objetivo realista: −20% a −35%; casos optimizados superan estas cifras).
- Menor número de citas por tratamiento (2–3 citas vs. 3–5 protocolos convencionales).
- Tasa de rehacemos/ajustes significativamente menores (meta <5%).
- Mejora de la satisfacción del paciente (procedimientos más cortos, menor incertidumbre, mejor estética).
- Mayor eficiencia operativa: mejor rotación de sillón y mejor optimización de la agenda.
Consideraciones técnicas y compatibilidades
- Trabajamos con formatos estándar (DICOM, STL, PLY) y configuramos offsets y protocolos por sistema de implantes.
- Nuestro enfoque permite integrarse con distintos flujos CAD/CAM y sistemas de impresión 3D; el control dimensional y la verificación de pasividad son parte integral del servicio.
- La decisión de realizar una carga instantánea siempre depende del criterio del doctor, los parámetros de estabilidad primaria (ISQ, torque) y de la planificación prostética; BRDP facilita la toma de decisión al presentar el set-up prostético desde el inicio.
Implementación en tu clínica: pasos prácticos
- Onboarding de roles (doctor, auxiliar, recepción) y protocolo de captura de datos.
- Checklist de CBCT + escaneado: calidad mínima, referencias, márgenes.
- Comunicación con el centro de producción: plazos, librerías, materiales.
- Trazabilidad: registro de lotes, torque, materiales y consentimientos.
FAQ
¿Quieres evaluar el impacto en tu clínica?
Solicita una demo del workflow de la implantología de alta precisión digital o ven a ver una intervención en directo en nuestra clínica FlagShip sin coste. Consulta también:




Deja una respuesta